
Neues Tool für die Detektion von Brustkrebs
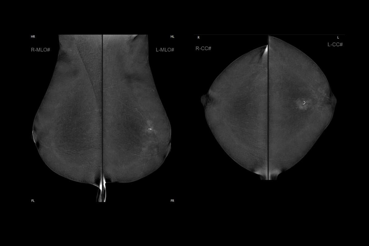
Die Mammographie ist der absolute Standard, wenn es zur Brustkrebs-Vorsorgeuntersuchung kommt. Inzwischen steht mit der Kontrastmittel-Mammographie (KM-MG) eine neuere Variante zur Verfügung, die zeitnah zur Diagnosesicherung beiträgt. Dieses Tool wird zurzeit allerdings nur bei vorliegendem Verdachtsfall eingesetzt.

Ordensklinikum Linz
In Österreich wird die Brustkrebs-Vorsorgeuntersuchung für alle Frauen ab dem 45. Lebensjahr empfohlen. Für Frauen mit erhöhtem Risiko – aufgrund von familiären genetischen Erkrankungen oder individueller Vorbelastung – kann die Testung bereits früher durchgeführt werden. Grundsätzlich wird die klassische Mammographie für diese Vorsorgeuntersuchung eingesetzt.
Dieser Beitrag erschien auch im Printmagazin CliniCum onko
