
Hirnabszesse erkennen und behandeln
Der Hirnabszess ist eine seltene und lebensbedrohliche Erkrankung, die durch eine Vielzahl unterschiedlicher Erreger verursacht werden und auch immunkompetente Personen betreffen kann. In der Behandlung von Hirnabszessen sind sowohl medikamentöse Maßnahmen als auch die Neurochirurgie gefragt. Bei korrekter Diagnose und Therapie ist die Prognose mittlerweile gut. Eine neue Leitlinie der ESCMID fasst den Evidenzstand zu Diagnostik und Therapie zusammen.

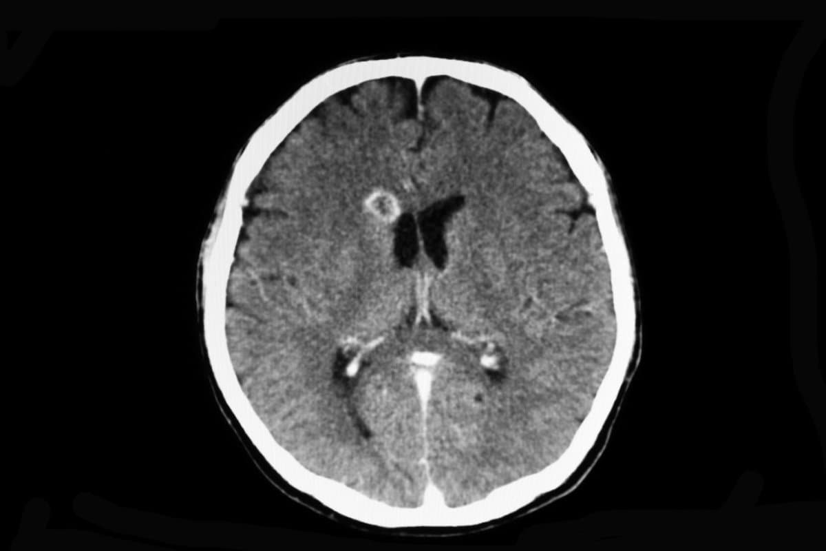
Studien im Tiermodell zeigen, dass die Entwicklung eines Hirnabszesses über die ersten drei Tage durch frühe Cerebritis und bakterielles Wachstum charakterisiert ist. In den folgenden Tagen kommt es zur späten Cerebritis mit Ausbildung einer zentralen Nekrose und zur Einwanderung von Makrophagen und Fibroblasten in die Peripherie des Abszesses. Ab dem zehnten Tag nimmt die Nekrose ab und es bildet sich eine Kollagenkapsel, die etwa um Tag 14 den Abszess komplett umschließt.
- Brouwer MC et al., N Engl J Med 2014; 371(5):447–56
- Brouwer MC et al., N Engl J Med 2014; 371(18):1758
- Bodilsen J et al., Clin Infect Dis 2020; 71(4): 1040–46
- Bodilsen J et al., Neurology 2022; 99(8):e835–e842
- Bodilsen J et al., Brain 2023; 146(4):1637–47
- Tattevin P, Solomon T, Brouwer MC. Intensive Care Med 2019; 45(1):93–96
- Brouwer MC, Coutinho JM, van de Beek D. Neurology 2014; 82(9):806–13