Eosinophile Granulomatose mit Polyangiitis (EGPA): Neue Erkenntnisse und Therapieoptionen
Eosinophilien gehen oft mit Herausforderungen wie schnell auftretenden, schwerwiegenden Organbeteiligungen sowie einem breiten Spektrum möglicher Ursachen einher. Dementsprechend ist eine komplexe Differenzialdiagnostik notwendig. Bei rund 10 % der Eosinophilien wird eine Eosinophile Granulomatose mit Polyangiitis (EGPA) diagnostiziert. Wie aktuelle Erkenntnisse die Therapie der EGPA zu verbessern vermögen, berichtete PD Dr. Thomas Neumann, Stv. Klinikleiter Rheumatologie, Kantonsspital St. Gallen, am Jahreskongress Schweizerischen Gesellschaft für Rheumatologie 2024*.

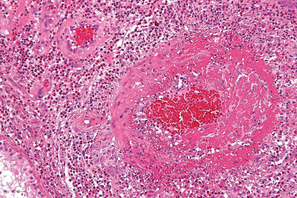
Wikimedia/nephron
Mikroskopisches Bild einer eosinophilen Vaskulitis in einer Hämatoxylin-Eosin-Färbung
Referenzen
- Wardlaw AJ et al. The causes of a peripheral blood eosinophilia in a secondary care setting. Clin Exp Allergy. 2021; 51(7): 902–914
- Wechsler ME et al. Mepolizumab or Placebo for Eosinophilic Granulomatosis with Polyangiitis. N Engl J Med. 2017; 376(20): 1921–1932
- Bettiol A et al. Mepolizumab for Eosinophilic Granulomatosis With Polyangiitis: A European Multicenter Observational Study. Arthritis Rheumatol. 2022; 74(2): 295–306
- Wechsler ME et al. Benralizumab versus Mepolizumab for Eosinophilic Granulomatosis with Polyangiitis. N Engl J Med. 2024; 390(10): 911–921
- Terrier B et al. Rituximab versus Conventional Therapeutic Strategy for Remission Induction in Eosinophilic Granulomatosis with Polyangiitis: A Double-blind, Randomized, Controlled Trial. Abstract Number: L21, ACR Convergence 2021
- Hellmich B et al. EULAR recommendations for the management of ANCA-associated vasculitis: 2022 update. Ann Rheum Dis. 2024; 83(1): 30–47
* Symposium GSK, 5.9.24