Der Weg zur Amyloidosediagnose
Dyspnoe, Polyneuropathie, Abgeschlagenheit – die unspezifischen Symptome rund um eine kardiale Amyloidose verzögern oft die Diagnose. Ein hohes Risiko für den Patienten, denn Therapieerfolg und Prognose hängen vom rechtzeitigen Nachweis ab.

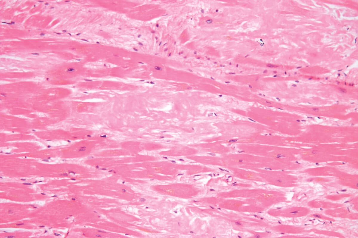
wikimedia/Nephron
Die extrazellulären, „schaumigen“ Amyloidablagerungen im Herzmuskel (hellrosa) sind unterm Mikroskop gut zu erkennen.
Am Herzen werden zwei Formen der Amyloidose unterschieden: Die ATTR- und die AL-Amyloidose. Erstere entsteht durch eine Fehlfaltung von Transthyretin, einem Transportprotein für Thyroxin und Retinol. Die zweite wird durch Leichtketten-Immunglobuline hervorgerufen. Als Auslöser für die AL-Amyloidose fungieren Multiples Myelom, unspezifische Gammopathie und B-Zell-Lymphom, schreiben Dr. Claudia Meier und Prof. Dr. Ali Yilmaz vom Universitätsklinikum Münster.
Weiterlesen